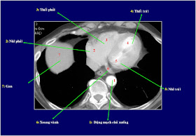
Chụp cắt lớp vi tính (CLVT) phổi và lồng ngực đánh giá được tình trạng bệnh lý của xương sườn, màng phổi, nhu mô phổi, phế quản, tim, mạch máu, trung thất…. Dựa vào hình ảnh chụp CLVT có thể nhìn thấy những bất thường mà không thể phát hiện dễ trên phim chụp X quang tiêu chuẩn thẳng hoặc nghiêng vì bị các tạng khác chồng lên che khuất.
Để có thể chẩn đoán được cần biết rõ về cấc mốc giải phẫu trên cấc lát cắt.
![]() |
| Internet |
![]() |
| Bấm vào hình để xem kích thước to |









































































































No comments:
Post a Comment